ACY-738

For research use only.

ACY-738 inhibits HDAC6 with low nanomolar potency (IC50=1.7 nM) and a selectivity of 60- to 1500-fold over class I HDACs.

ACY-738 Chemical Structure

ACY-738 Chemical Structure

CAS No. 1375465-91-0

Purity & Quality Control

ACY-738 Related Products

Signaling Pathway

Biological Activity

Description ACY-738 inhibits HDAC6 with low nanomolar potency (IC50=1.7 nM) and a selectivity of 60- to 1500-fold over class I HDACs.
Targets
HDAC6 [1]
(Cell-free)
1.7 nM
In Vivo
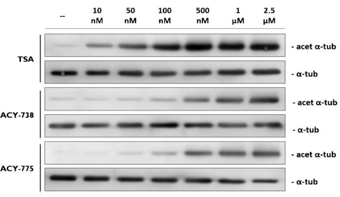
In vivo ACY-738 induces dramatic increases in α-tubulin acetylation in brain and stimulate mouse exploratory behaviors in novel, but not familiar environments. ACY-738 has the antidepressant-like properties. Elimination of ACY-738 from plasma is rapid, with plasmatic half-life of 12 min and concentration below 10 ng/ml after 2 h. ACY-738 rapidly distributes to the brain leading to a total drug exposure in CNS comparable to that of peripheral tissues[1]. ACY-738 decreases several characteristics of SLE (Systemic lupus erythematosus) in NZB/W mice by dictating B cell development in the bone marrow. ACY-738 treatment increases the percentage of B cells in early developmental stages, while decreasing the percentage of cells in late pre-B cell fraction F. ACY-738 regulation of BM B cell development could be due to regulation developmental checkpoints known to be dysfunctional during SLE[2].
Animal Research Animal Models Male NIH Swiss mice
Dosages 5 mg/kg
Administration i.p.
  • https://pubmed.ncbi.nlm.nih.gov/23954848/
  • https://pubmed.ncbi.nlm.nih.gov/26604012/

Chemical Information & Solubility

Molecular Weight 270.29 Formula

C14H14N4O2

CAS No. 1375465-91-0 SDF Download ACY-738 SDF
Smiles C1CC1(C2=CC=CC=C2)NC3=NC=C(C=N3)C(=O)NO
Storage (From the date of receipt)

In vitro
Batch:

DMSO : 54 mg/mL ( (199.78 mM) Moisture-absorbing DMSO reduces solubility. Please use fresh DMSO.)

Ethanol : 1 mg/mL

Water : Insoluble


Molecular Weight Calculator

In vivo
Batch:

Add solvents to the product individually and in order.


In vivo Formulation Calculator

Preparing Stock Solutions

Molarity Calculator

Mass Concentration Volume Molecular Weight

In vivo Formulation Calculator (Clear solution)

Step 1: Enter information below (Recommended: An additional animal making an allowance for loss during the experiment)

mg/kg g μL

Step 2: Enter the in vivo formulation (This is only the calculator, not formulation. Please contact us first if there is no in vivo formulation at the solubility Section.)

% DMSO % % Tween 80 % ddH2O
%DMSO %

Calculation results:

Working concentration: mg/ml;

Method for preparing DMSO master liquid: mg drug pre-dissolved in μL DMSO ( Master liquid concentration mg/mL, Please contact us first if the concentration exceeds the DMSO solubility of the batch of drug. )

Method for preparing in vivo formulation: Take μL DMSO master liquid, next addμL PEG300, mix and clarify, next addμL Tween 80, mix and clarify, next add μL ddH2O, mix and clarify.

Method for preparing in vivo formulation: Take μL DMSO master liquid, next add μL Corn oil, mix and clarify.

Note: 1. Please make sure the liquid is clear before adding the next solvent.
2. Be sure to add the solvent(s) in order. You must ensure that the solution obtained, in the previous addition, is a clear solution before proceeding to add the next solvent. Physical methods such
as vortex, ultrasound or hot water bath can be used to aid dissolving.

Tech Support

Answers to questions you may have can be found in the inhibitor handling instructions. Topics include how to prepare stock solutions, how to store inhibitors, and issues that need special attention for cell-based assays and animal experiments.

Handling Instructions

Tel: +1-832-582-8158 Ext:3
If you have any other enquiries, please leave a message.

* Indicates a Required Field

Please enter your name.
Please enter your email. Please enter a valid email address.
Please write something to us.