research use only

TGF β Receptor II Antibody [J15L22]

Catalog No.: F2400

    Application: Reactivity:
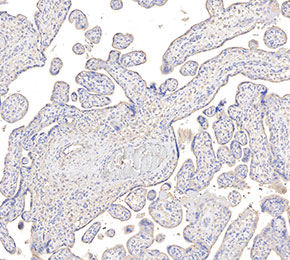
    • F2400-IHC1
      Immunohistochemical analysis of formalin fixed paraffin embedded human placenta tissue with F2400 at 1:50 dilution.

    Usage Information

    Dilution
    1:50 - 1:200
    Application
    IHC, FCM
    Reactivity
    Human
    Source
    Mouse Monoclonal Antibody
    Storage Buffer
    PBS, pH 7.2+50% Glycerol+0.05% BSA+0.01% NaN3
    Storage (from the date of receipt)
    -20°C (avoid freeze-thaw cycles), 2 years
    Positive Control Human placental; HepG2
    Negative Control

    Exprimental Methods

    IHC
    Experimental Protocol:
     
    Deparaffinization/Rehydration
    1. Deparaffinize/hydrate sections:
    2. Incubate sections in three washes of xylene for 5 min each.
    3. Incubate sections in two washes of 100% ethanol for 10 min each.
    4. Incubate sections in two washes of 95% ethanol for 10 min each.
    5. Wash sections two times in dH2O for 5 min each.
    6.Antigen retrieval: For Citrate: Heat slides in a microwave submersed in 1X citrate unmasking solution until boiling is initiated; continue with 10 min at a sub-boiling temperature (95°-98°C). Cool slides on bench top for 30 min.
     
    Staining
    1. Wash sections in dH2O three times for 5 min each.
    2. Incubate sections in 3% hydrogen peroxide for 10 min.
    3. Wash sections in dH2O two times for 5 min each.
    4. Wash sections in wash buffer for 5 min.
    5. Block each section with 100–400 µl of blocking solution for 1 hr at room temperature.
    6. Remove blocking solution and add 100–400 µl primary antibody diluent in to each section. Incubate overnight at 4°C.
    7. Remove antibody solution and wash sections with wash buffer three times for 5 min each.
    8. Cover section with 1–3 drops HRPas needed. Incubate in a humidified chamber for 30 min at room temperature.
    9. Wash sections three times with wash buffer for 5 min each.
    10. Add DAB Chromogen Concentrate to DAB Diluent and mix well before use.
    11. Apply 100–400 µl DAB to each section and monitor closely. 1–10 min generally provides an acceptable staining intensity.
    12. Immerse slides in dH2O.
    13. If desired, counterstain sections with hematoxylin.
    14. Wash sections in dH2O two times for 5 min each.
    15. Dehydrate sections: Incubate sections in 95% ethanol two times for 10 sec each; Repeat in 100% ethanol, incubating sections two times for 10 sec each; Repeat in xylene, incubating sections two times for 10 sec each.
    16. Mount sections with coverslips and mounting medium.
     

    Datasheet & SDS

    Biological Description

    Specificity

    TGF β Receptor II Antibody [J15L22] detects endogenous levels of total TGF-β Receptor II protein.

    Subcellular Location
    Cell membrane, Membrane, Secreted
    Uniprot ID
    P37173
    Clone
    J15L22
    Synonym(s)
    TGF-beta receptor type-2, TGFR-2, TGF-beta type II receptor, Transforming growth factor-beta receptor type II, TGF-beta receptor type II, TbetaR-II, TGFBR2
    Background
    The TGF β Receptor II, (transforming growth factor-β type II receptor, TβRII) is a type I transmembrane glycoprotein and a constitutively active serine/threonine kinase that initiates TGF-β signaling. It comprises an extracellular ligand-binding ectodomain with a three-finger toxin fold stabilized by six disulfide bonds (four conserved among type II receptors and two unique to TβRII), a single transmembrane segment, and an intracellular kinase domain. The ectodomain contains 12 cysteines and features an extended first “finger” compared to related receptors, enabling specific ligand interactions. TβRII is expressed in many tissues and binds TGF-β ligands, recruiting and phosphorylating the type I receptor (TβRI) to activate SMAD-dependent and SMAD-independent pathways, including Src kinase signaling. Through these mechanisms, TβRII regulates development, tissue homeostasis, immune responses, and pathological processes such as cancer and fibrosis.
    References
    • https://pubmed.ncbi.nlm.nih.gov/12121646/
    • https://pubmed.ncbi.nlm.nih.gov/36378749/

    Tech Support

    Answers to questions you may have can be found in the inhibitor handling instructions. Topics include how to prepare stock solutions, how to store inhibitors, and issues that need special attention for cell-based assays and animal experiments.

    Handling Instructions

    Tel: +1-832-582-8158 Ext:3
    If you have any other enquiries, please leave a message.

    * Indicates a Required Field

    Please enter your name.
    Please enter your email. Please enter a valid email address.
    Please write something to us.