research use only

Phospho-STAT1 (Ser727) Antibody [K4E23]

Cat.No.: F0451

    Application: Reactivity:
    • F0451-wb
      Lane 1: OVCAR8, Lane 2: OVCAR8 (UV-treated, 2 hrs), Lane 3: 3T3, Lane 4: 3T3 (UV-treated, 2 hrs), Lane 5: H-4-II-E, Lane 6: H-4-II-E (UV-treated, 2 hrs)
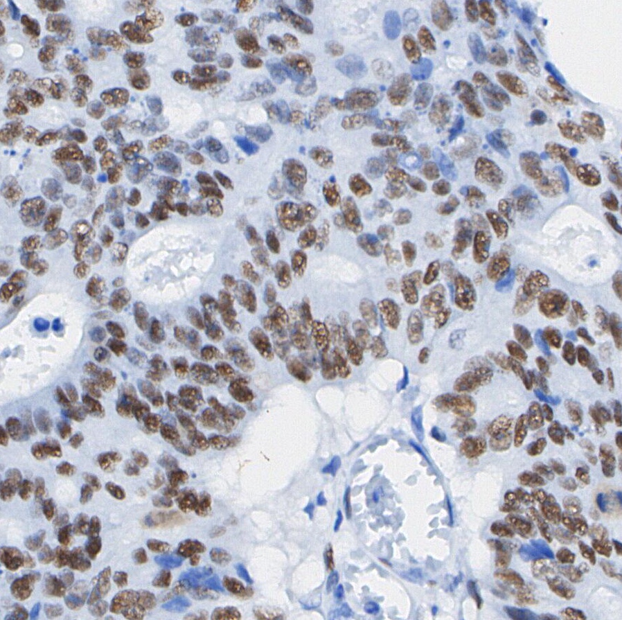
    • F0451-IHC1
      Immunohistochemical analysis of formalin fixed paraffin embedded human Colorectal cancer tissue with F0451 at 1/200 dilution.
    1/

    Customer Reviews

    Usage Information

    Dilution
    1:1000
    1:50
    1:200
    1:50
    Application
    WB, IP, IHC, ChIP
    Reactivity
    Human, Mouse, Rat, Monkey, Bovine
    Source
    Rabbit Monoclonal Antibody
    Storage Buffer
    PBS, pH 7.2+50% Glycerol+0.05% BSA+0.01% NaN₃
    Storage (from the date of receipt)
    –20°C (avoid freeze-thaw cycles), 2 years
    Predicted MW
    91 kda
    Positive Control human breast carcinoma; human lymphoma; human ovarian carcinoma; OVCAR8; NIH/3T3 (UV treated, 2 h); H-4-II-E (UV treated, 2 h); HT-1080 (treated with IFN-γ, 50 ng/ml, 30 min); Hela
    Negative Control NIH/3T3; H-4-II-E; Hela (CIP + λ phosphatase-treated)

    Expression & Treatment Conditions

    Sample Treatment Conditions
    NIH/3T3 UV, 2 h
    H-4-II-E UV, 2 h
    Hela hIFN (100 ng/mL, 30 min)
    HT-1080 IFN-γ (50 ng/mL, 30 min)
    Click to view more sample data

    *For predicted expression levels of this protein in various human-derived cells and tissues, please refer to: http://www.proteinatlas.org

    Experimental Methods

    WB
    Experimental Protocol:
     
    Sample preparation
    1. Tissue: Lyse the tissue sample by adding an appropriate volume of ice-cold RIPA/NP-40 Lysis Buffer (containing Protease Inhibitor Cocktail, Phosphatase Inhibitor Cocktail),and homogenize the tissue at a low temperature or lyse it by sonication on ice, then incubate on ice for 30 minutes.
    2. Adherent cell: Aspirate the culture medium and transfer the cells into an EP tube. Wash the cells with ice-cold PBS twice. Add an appropriate volume of RIPA/NP-40 Lysis Buffer (containing Protease Inhibitor Cocktail, Phosphatase Inhibitor Cocktail), sonicate to lyse the cells, and incubate on ice for 30 minutes.
    3. Suspension cell: Transfer the culture medium to a pre-cooled centrifuge tube. Centrifuge and aspirate the supernatant. Wash the cells with ice-cold PBS twice.Add an appropriate volume of RIPA/NP-40 Lysis Buffer (containing Protease Inhibitor Cocktail, Phosphatase Inhibitor Cocktail), sonicate to lyse the cells, and incubate on ice for 30 minutes.
    4. Place the lysate into a pre-cooled microcentrifuge tube. Centrifuge at 4°C for 15 min. Collect the supernatant;
    5. Remove a small volume of lysate to determine the protein concentration;
    6. Combine the lysate with protein loading buffer. Boil 20 µL sample under 95-100°C for 5 min. Centrifuge for 5 min after cool down on ice.
     
    Electrophoretic separation
    1. According to the concentration of extracted protein, load appropriate amount of protein sample and marker onto SDS-PAGE gels for electrophoresis. Recommended separating gel (lower gel) concentration: 10%. Reference Table for Selecting SDS-PAGE Separation Gel Concentrations
    2. Power up 80V for 30 minutes. Then the power supply is adjusted (110 V~150 V), the Marker is observed, and the electrophoresis can be stopped when the indicator band of the predyed protein Marker where the protein is located is properly separated. (Note that the current should not be too large when electrophoresis, too large current (more than 150 mA) will cause the temperature to rise, affecting the result of running glue. If high currents cannot be avoided, an ice bath can be used to cool the bath.)
     
    Transfer membrane
    1. Take out the converter, soak the clip and consumables in the pre-cooled converter;
    2. Activate PVDF membrane with methanol for 1 min and rinse with transfer buffer;
    3. Install it in the order of "black edge of clip - sponge - filter paper - filter paper - glue -PVDF membrane - filter paper - filter paper - sponge - white edge of clip";
    4. The protein was electrotransferred to PVDF membrane. ( 0.45 µm PVDF membrane is recommended ) Reference Table for Selecting PVDF Membrane Pore Size Specifications
    Recommended conditions for wet transfer: 200 mA, 120 min.
    ( Note that the transfer conditions can be adjusted according to the protein size. For high-molecular-weight proteins, a higher current and longer transfer time are recommended. However, ensure that the transfer tank remains at a low temperature to prevent gel melting.)
     
    Block
    1. After electrotransfer, wash the film with TBST at room temperature for 5 minutes;
    2. Incubate the film in the blocking solution ( recommending 5% BSA solution) for 1 hour at room temperature;
    3. Wash the film with TBST for 3 times, 5 minutes each time.
     
    Antibody incubation
    1. Use 5% skim milk powder to prepare the primary antibody working liquid (recommended dilution ratio for primary antibody 1:1000), gently shake and incubate with the film at 4°C overnight;
    2. Wash the film with TBST 3 times, 5 minutes each time;
    3. Add the secondary antibody to the blocking solution and incubate with the film gently at room temperature for 1 hour;
    4. After incubation, wash the film with TBST 3 times for 5 minutes each time.
     
    Antibody staining
    706. Add the prepared ECL luminescent substrate (or select other color developing substrate according to the second antibody) and mix evenly;
    2. Incubate with the film for 1 minute, remove excess substrate (keep the film moist), wrap with plastic film, and expose in the imaging system.
    IHC

    Experimental Protocol:

     
    Deparaffinization/Rehydration
    1. Deparaffinize/hydrate sections:
    2. Incubate sections in three washes of xylene for 5 min each.
    3. Incubate sections in two washes of 100% ethanol for 10 min each.
    4. Incubate sections in two washes of 95% ethanol for 10 min each.
    5. Wash sections two times in dH2O for 5 min each.
    6.Antigen retrieval: For Citrate: Heat slides in a microwave submersed in 1X citrate unmasking solution until boiling is initiated; continue with 10 min at a sub-boiling temperature (95°-98°C). Cool slides on bench top for 30 min.
     
    Staining
    1. Wash sections in dH2O three times for 5 min each.
    2. Incubate sections in 3% hydrogen peroxide for 10 min.
    3. Wash sections in dH2O two times for 5 min each.
    4. Wash sections in wash buffer for 5 min.
    5. Block each section with 100–400 µl of blocking solution for 1 hr at room temperature.
    6. Remove blocking solution and add 100–400 µl primary antibody diluent in to each section. Incubate overnight at 4°C.
    7. Remove antibody solution and wash sections with wash buffer three times for 5 min each.
    8. Cover section with 1–3 drops HRPas needed. Incubate in a humidified chamber for 30 min at room temperature.
    9. Wash sections three times with wash buffer for 5 min each.
    10. Add DAB Chromogen Concentrate to DAB Diluent and mix well before use.
    11. Apply 100–400 µl DAB to each section and monitor closely. 1–10 min generally provides an acceptable staining intensity.
    12. Immerse slides in dH2O.
    13. If desired, counterstain sections with hematoxylin.
    14. Wash sections in dH2O two times for 5 min each.
    15. Dehydrate sections: Incubate sections in 95% ethanol two times for 10 sec each; Repeat in 100% ethanol, incubating sections two times for 10 sec each; Repeat in xylene, incubating sections two times for 10 sec each.
    16. Mount sections with coverslips and mounting medium.

    Datasheet & SDS

    Biological Description

    Specificity

    Phospho-STAT1 (Ser727) Antibody [K4E23] recognizes endogenous levels of Stat1 protein only when phosphorylated at Ser727.

    Subcellular Location
    Cytoplasm, Nucleus
    Uniprot ID
    P42224
    Clone
    K4E23
    Synonym(s)
    Phospho-Stat1 (Ser727),STAT1 (phospho S727)
    Background

    The Stat1 transcription factor is activated by various ligands and is crucial for the cellular response to IFN-α and IFN-γ. Phosphorylation of Stat1 at Tyr701 triggers its dimerization, nuclear translocation, and DNA binding. Stat1 exists in two isoforms: Stat1α (91 kDa) and the splice variant Stat1β (84 kDa). In most cells, both isoforms are activated by IFN-α, but only Stat1α responds to IFN-γ. Stat1 is often inappropriately activated in many tumors. Besides tyrosine phosphorylation, Stat1 is also phosphorylated at Ser727 through a p38 mitogen-activated protein kinase (MAPK)-dependent pathway in response to IFN-α and various cellular stresses.

    References
    • https://pubmed.ncbi.nlm.nih.gov/8048164/
    • https://pubmed.ncbi.nlm.nih.gov/7543024/

    Tech Support

    Handling Instructions

    Tel: +1-832-582-8158 Ext:3

    If you have any other enquiries, please leave a message.