research use only

GSK-3β Antibody [H1F15]

Cat.No.: F3534

    Application: Reactivity:
    • F3534-wb
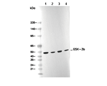
      Lane 1: Hela, Lane 2: NIH/3T3, Lane 3: C6, Lane 4: COS7

    Usage Information

    Dilution
    1:1000
    1:50
    1:100
    Application
    WB, IP, IHC
    Reactivity
    Human, Mouse, Rat, Monkey
    Source
    Rabbit Monoclonal Antibody
    Storage Buffer
    PBS, pH 7.2+50% Glycerol+0.05% BSA+0.01% NaN3
    Storage (from the date of receipt)
    -20°C (avoid freeze-thaw cycles), 2 years
    Predicted MW
    46 kDa
    Positive Control Human breast carcinoma; Human Lung carcinoma; HeLa cell; NIH/3T3 cell; C6 cell; COS-7 cell
    Negative Control

    Exprimental Methods

    WB
    Experimental Protocol:
     
    Sample preparation
    1. Tissue: Lyse the tissue sample by adding an appropriate volume of ice-cold RIPA/NP-40 Lysis Buffer (containing Protease Inhibitor Cocktail),and homogenize the tissue at a low temperature.
    2. Adherent cell: Aspirate the culture medium and wash the cells with ice-cold PBS twice. Lyse the cells by adding an appropriate volume of RIPA/NP-40 Lysis Buffer (containing Protease Inhibitor Cocktail) and put the sample on ice for 5 min.
    3. Suspension cell: Transfer the culture medium to a pre-cooled centrifuge tube. Centrifuge and aspirate the supernatant. Wash the cells with ice-cold PBS twice. Lyse the cells by adding an appropriate volume of RIPA/NP-40 Lysis Buffer (containing Protease Inhibitor Cocktail) and put the sample on ice for 5 min.
    4. Place the lysate into a pre-cooled microcentrifuge tube. Centrifuge at 4°C for 15 min. Collect the supernatant;
    5. Remove a small volume of lysate to determine the protein concentration;
    6. Combine the lysate with protein loading buffer. Boil 20 µL sample under 95-100°C for 5 min. Centrifuge for 5 min after cool down on ice.
     
    Electrophoretic separation
    1. According to the concentration of extracted protein, load appropriate amount of protein sample and marker onto SDS-PAGE gels for electrophoresis. Recommended separating gel (lower gel) concentration: 10%. Reference Table for Selecting SDS-PAGE Separation Gel Concentrations
    2. Power up 80V for 30 minutes. Then the power supply is adjusted (110 V~150 V), the Marker is observed, and the electrophoresis can be stopped when the indicator band of the predyed protein Marker where the protein is located is properly separated. (Note that the current should not be too large when electrophoresis, too large current (more than 150 mA) will cause the temperature to rise, affecting the result of running glue. If high currents cannot be avoided, an ice bath can be used to cool the bath.)
     
    Transfer membrane
    1. Take out the converter, soak the clip and consumables in the pre-cooled converter;
    2. Activate PVDF membrane with methanol for 1 min and rinse with transfer buffer;
    3. Install it in the order of "black edge of clip - sponge - filter paper - filter paper - glue -PVDF membrane - filter paper - filter paper - sponge - white edge of clip";
    4. The protein was electrotransferred to PVDF membrane. ( 0.45 µm PVDF membrane is recommended ) Reference Table for Selecting PVDF Membrane Pore Size Specifications
    Recommended conditions for wet transfer: 200 mA, 120 min.
    ( Note that the transfer conditions can be adjusted according to the protein size. For high-molecular-weight proteins, a higher current and longer transfer time are recommended. However, ensure that the transfer tank remains at a low temperature to prevent gel melting.)
     
    Block
    1. After electrotransfer, wash the film with TBST at room temperature for 5 minutes;
    2. Incubate the film in the blocking solution for 1 hour at room temperature;
    3. Wash the film with TBST for 3 times, 5 minutes each time.
     
    Antibody incubation
    1. Use 5% skim milk powder to prepare the primary antibody working liquid (recommended dilution ratio for primary antibody 1:1000), gently shake and incubate with the film at 4°C overnight;
    2. Wash the film with TBST 3 times, 5 minutes each time;
    3. Add the secondary antibody to the blocking solution and incubate with the film gently at room temperature for 1 hour;
    4. After incubation, wash the film with TBST 3 times for 5 minutes each time.
     
    Antibody staining
    1. Add the prepared ECL luminescent substrate (or select other color developing substrate according to the second antibody) and mix evenly;
    2. Incubate with the film for 1 minute, remove excess substrate (keep the film moist), wrap with plastic film, and expose in the imaging system.
    IHC
    Experimental Protocol:
     
    Deparaffinization/Rehydration
    1. Deparaffinize/hydrate sections:
    2. Incubate sections in three washes of xylene for 5 min each.
    3. Incubate sections in two washes of 100% ethanol for 10 min each.
    4. Incubate sections in two washes of 95% ethanol for 10 min each.
    5. Wash sections two times in dH2O for 5 min each.
    6.Antigen retrieval: For Citrate: Heat slides in a microwave submersed in 1X citrate unmasking solution until boiling is initiated; continue with 10 min at a sub-boiling temperature (95°-98°C). Cool slides on bench top for 30 min.
     
    Staining
    1. Wash sections in dH2O three times for 5 min each.
    2. Incubate sections in 3% hydrogen peroxide for 10 min.
    3. Wash sections in dH2O two times for 5 min each.
    4. Wash sections in wash buffer for 5 min.
    5. Block each section with 100–400 µl of blocking solution for 1 hr at room temperature.
    6. Remove blocking solution and add 100–400 µl primary antibody diluent in to each section. Incubate overnight at 4°C.
    7. Remove antibody solution and wash sections with wash buffer three times for 5 min each.
    8. Cover section with 1–3 drops HRPas needed. Incubate in a humidified chamber for 30 min at room temperature.
    9. Wash sections three times with wash buffer for 5 min each.
    10. Add DAB Chromogen Concentrate to DAB Diluent and mix well before use.
    11. Apply 100–400 µl DAB to each section and monitor closely. 1–10 min generally provides an acceptable staining intensity.
    12. Immerse slides in dH2O.
    13. If desired, counterstain sections with hematoxylin.
    14. Wash sections in dH2O two times for 5 min each.
    15. Dehydrate sections: Incubate sections in 95% ethanol two times for 10 sec each; Repeat in 100% ethanol, incubating sections two times for 10 sec each; Repeat in xylene, incubating sections two times for 10 sec each.
    16. Mount sections with coverslips and mounting medium.
     

    Datasheet & SDS

    Biological Description

    Specificity

    GSK-3β Antibody [H1F15] detects endogenous levels of total GSK-3β protein.

    Subcellular Location
    Cell membrane, Cytoplasm, Membrane, Nucleus
    Uniprot ID
    P49841
    Clone
    H1F15
    Synonym(s)
    Glycogen synthase kinase-3 beta, GSK-3 beta, Serine/threonine-protein kinase GSK3B, GSK3B, 9332; gsk; gsk 3; gsk-3; GSK-3beta; gsk3
    Background
    Glycogen synthase kinase-3 (GSK-3) is a widely expressed serine/threonine protein kinase that exists in two isoforms, GSK-3α and GSK-3β. Both isoforms are highly conserved in their kinase domains but differ significantly at the C-terminal region, with GSK-3α additionally featuring a glycine-rich extension at its N-terminus. GSK-3 plays a central role in regulating numerous cellular processes through the Wnt pathway and various other signaling cascades. GSK-3β is known to influence a broad spectrum of cellular activities, including cell growth, differentiation, proliferation, motility, apoptosis, embryogenesis, cell cycle control, and insulin signaling. It has been identified as a key modulator of cell survival and death in multiple cell types such as neurons, hepatocytes, fibroblasts, endothelial cells, and astrocytes under different physiological and pathological conditions. In humans, the GSK-3β protein is composed of 433 amino acids, weighing approximately 46 kDa, while the mouse homolog contains 420 amino acids. GSK-3β activity is tightly regulated by phosphorylation at specific residues. Phosphorylation at serine 9 (Ser-9), mediated by kinases such as Akt, p70S6 kinase, p90RSK, and PKC, inhibits its activity. In contrast, phosphorylation at tyrosine 216 (Tyr-216) by kinases like Fyn or ZAK1 enhances its catalytic function. One of the key targets of GSK-3β is β-catenin, which it phosphorylates, leading to β-catenin's degradation via the ubiquitin-proteasome pathway. When GSK-3β is inactivated—such as through Akt-mediated phosphorylation at Ser-9—β-catenin escapes degradation, accumulates in the cytoplasm, and translocates to the nucleus where it activates gene transcription. GSK-3β also contributes to cell cycle regulation by targeting cyclin D1 for phosphorylation, triggering its rapid degradation. Dysregulation of GSK-3β activity has been implicated in a wide array of disorders, including insulin resistance and diabetes, neurodegenerative diseases like Alzheimer’s and Parkinson’s, psychiatric conditions such as schizophrenia and bipolar disorder, and various forms of cancer. Interestingly, GSK-3β can function either as a tumor suppressor or a tumor promoter, depending on the cellular context and the surrounding signaling milieu, highlighting its complex and multifaceted role in disease biology.
    References
    • https://pubmed.ncbi.nlm.nih.gov/22675363/

    Tech Support

    Handling Instructions

    Tel: +1-832-582-8158 Ext:3

    If you have any other enquiries, please leave a message.

    Please enter your name.
    Please enter your email. Please enter a valid email address.
    Please write something to us.